
Clogged mind drainage areas seen on MRI scans might function early predictors of Alzheimer’s before major brain damage occurs.
Researchers from Nanyang Technological University, Singapore (NTU Singapore) have found that the brain’s natural “drains”, which help remove toxic waste from the organ, are more likely to become blocked in people who show early signs of Alzheimer’s disease.
Their findings indicate that these blockages, known as “enlarged perivascular spaces”, could serve as an important early signal of Alzheimer’s, one of the most common forms of dementia.
“Since these brain anomalies can be visually identified on routine magnetic resonance imaging (MRI) scans performed to evaluate cognitive decline, identifying them could complement existing methods to detect Alzheimer’s earlier, without having to do and pay for additional tests,” said Associate Professor Nagaendran Kandiah from NTU’s Lee Kong Chian School of Medicine (LKCMedicine) who led the study.

Justin Ong, a fifth-year LKCMedicine student and first author of the study, noted that spotting Alzheimer’s at an early stage allows doctors to intervene sooner and potentially slow the progression of symptoms such as memory loss, reduced processing speed, and mood changes. The study was carried out as part of LKCMedicine’s Scholarly Project module in the Bachelor of Medicine and Bachelor of Surgery program.
Why Asian-focused Alzheimer’s studies matter
This research stands out because it is one of the few global studies that focus on Asian populations, rather than primarily Caucasian participants. The team examined nearly 1,000 people in Singapore from various ethnic groups, comparing individuals with no cognitive concerns to those showing mild difficulties in thinking.
These Asian-focused studies are important because past work suggests that dementia-related conditions vary across ethnicities.

“For example, among Caucasians with dementia, past studies show that the prevalence of a major risk gene, apolipoprotein E4, linked to Alzheimer’s is around 50 to 60 per cent. But among Singapore dementia patients, it is less than 20 per cent,” said Assoc Prof Kandiah, who is also Director of the Dementia Research Centre (Singapore)in LKCMedicine. So, findings in studies on Caucasian patients might not be observed in Asians and vice versa.
Predicting Alzheimer’s before it happens
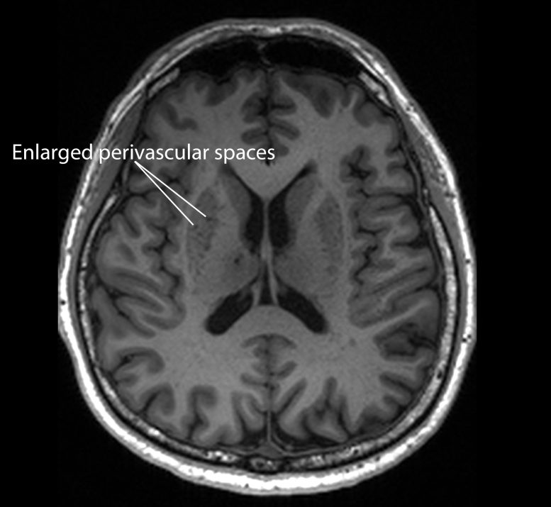
The brain’s blood vessels are surrounded by small channels called perivascular spaces. These serve as pathways for clearing harmful waste such as beta amyloid and tau proteins, both of which appear in unusually high amounts in people with Alzheimer’s.
When this drainage system becomes inefficient, the spaces expand and form enlarged perivascular spaces that are detectable on MRI scans. However, previous studies had not fully clarified whether this phenomenon was directly associated with dementia or specifically with Alzheimer’s disease.
To investigate further, the NTU team compared the clogged brain drains with a wider range of Alzheimer’s indicators than in earlier studies. They also evaluated how these blockages related to hallmark signs of the disease, including beta amyloid buildup and damage to the brain’s white matter, a network of nerve fibers that links different brain regions.

The researchers studied close to 1,000 participants in Singapore, including nearly 350 who do not have any cognitive problems, meaning their mental abilities, such as their ability to think, remember, reason, make decisions, and focus, are normal.
MRI findings reveal strong links to Alzheimer’s biomarkers
The rest of the participants had features suggesting early stages of cognitive disease, including mild cognitive impairment, which is a stage that precedes overt dementia. According to past research, those with mild cognitive impairment have a higher risk of developing dementia, like Alzheimer’s disease and vascular dementia, which is a type of dementia caused by reduced blood flow to the brain.
For the latest study, the researchers analyzed the MRI scans of the participants and found that those with mild cognitive impairment tend to have clogged drains in their brains, or enlarged perivascular spaces, compared to the other participants.
The scientists also took seven measurements based on specific biochemicals in the participants’ blood, including beta amyloid and tau proteins. Their presence is a warning sign that a person has Alzheimer’s.
The presence of clogged drains in the brain was linked to four of the seven measurements. So, people with enlarged perivascular spaces are likely to have more amyloid plaques, tau tangles, and brain cell damage in their brains than normal, and are thus at higher risk of developing Alzheimer’s.
Enlarged brain drains may be earlier indicators than white matter damage
The researchers also studied if damage to the brain’s white matter, a well-known indicator of Alzheimer’s, was linked to the biochemicals tied to the disease, and they did find such links with six of the seven biochemical measurements, but with a twist.

They further compared the white matter damage against enlarged perivascular spaces, and discovered that in participants with mild cognitive impairment, the link with biochemicals tied to Alzheimer’s was stronger for enlarged perivascular spaces than for white matter damage. This suggests that choked brain drains are early indicators of Alzheimer’s disease.
Knowing all this allows clinicians to better figure out what kind of treatment they should use to slow and prevent Alzheimer’s early, possibly before permanent brain damage has happened.
Clinical significance and expert interpretation
“The findings carry substantial clinical implications,” said Assoc Prof Kandiah. “Although white matter damage is more widely used in clinical practice to evaluate for dementia, as it is easily recognised on MRI scans, our results suggest that enlarged perivascular spaces may hold unique value in detecting early signs of Alzheimer’s disease.”
Dr Rachel Cheong Chin Yee, a Senior Consultant and Deputy Head at Khoo Teck Puat Hospital’s Department of Geriatric Medicine, said that the study highlights how changes in the brain’s small blood vessels – in this case, enlarged perivascular spaces that surround the blood vessels and help clear waste from the brain – may contribute to Alzheimer’s disease.
“These findings are significant because they suggest that brain scans showing enlarged perivascular spaces could potentially help identify people at higher risk of Alzheimer’s disease, even before symptoms appear,” said Dr Cheong, who was not involved in the study.
Dr Chong Yao Feng, a Consultant at the National University Hospital’s Division of Neurology and who was also not involved in the NTU study, said that cerebrovascular diseases – conditions that cause problems in the blood vessels of the brain – and Alzheimer’s disease are traditionally believed to be caused by different processes.
“The study’s findings are intriguing as they demonstrate that both diseases do interact in a synergistic manner,” said Dr Chong, who is also a Clinical Assistant Professor at the National University of Singapore’s Yong Loo Lin School of Medicine.
Implications for diagnosis and next steps in research
So, if a doctor orders an MRI brain scan to evaluate a patient’s cognitive symptoms and notices that the scan shows markers of cerebrovascular diseases, such as the enlarged perivascular spaces investigated in the NTU study, the clinician should not assume the patient’s cognitive impairment is due only to blood vessel problems. This is because the markers’ presence might increase the risk of the patient also having Alzheimer’s disease.
“Doctors will then have to use their clinical judgment of the patient’s scan and symptoms, as well as discuss with the patient, to determine if more checks are needed to confirm whether a patient has Alzheimer’s disease or not,” said Dr Chong.
The NTU research team plans to follow up on the study participants to check how many go on to develop Alzheimer’s dementia and to confirm that enlarged perivascular spaces can predict that people with these choked drains are more likely to progress to dementia.
Also, with more studies establishing the link between the clogged drains and Alzheimer’s in other populations, detecting enlarged perivascular spaces in MRI scans could one day be added to the existing tools available to clinicians to determine much earlier whether a patient will develop Alzheimer’s.
Reference: “Association of Enlarged Perivascular Spaces With Early Serum and Neuroimaging Biomarkers of Alzheimer Disease Pathology” by Justin Jit Hong Ong, Yi Jin Leow, Bocheng Qiu, Pricilia Tanoto, Fatin Zahra Zailan, Gurveen Kaur Sandhu and Nagaendran Kandiah, 22 August 2025, Neurology.
DOI: 10.1212/WNL.0000000000213836
This study received funding support from the Strategic Academic Initiative grant from the Lee Kong Chian School of Medicine, Nanyang Technological University, Singapore, National Medical Research Council, Singapore under its Clinician Scientist Award (MOH-CSAINV18nov-0007), Ministry of Education Start-up Grant, Ministry of Education Academic Research Fund Tier 1 (RT02/21), and Ministry of Education Science of Learning Grant (MOESOL2022-0002).
Never miss a breakthrough: Join the SciTechDaily newsletter.
Follow us on Google and Google News.














